Chúng ta có thể thấy rõ rằng những bệnh lý nổi trội trong sản xuất lợn đã bắt đầu từ những chủ đề được bàn trong những hội nghị quốc tế, châu Âu hoặc quốc gia và bắt đầu từ những ca chẩn đoán ở phòng thí nghiệm . Những bệnh được phòng thí nghiệm chẩn đoán đều là đa nhân tố và vì thế đều được gọi dưới cái tên bệnh phức hợp đòi hỏi phải chẩn đoán phân biệt. Đó là các bệnh ỉa chảy sơ sinh, bệnh trực khuẩn coli lợn cai sữa, những bệnh đường ruột trong giai đoạn vỗ béo hoặc rối loạn tiêu hoá, và rối loạn hô hấp. Giải phẫu bệnh đã bổ sung thêm những thông tin về tổn thương, với những thời hạn và những giá cả hợp lý.

Chúng ta có thể thấy rõ rằng những bệnh lý nổi trội trong sản xuất lợn đã bắt đầu từ những chủ đề được bàn trong những hội nghị quốc tế, châu Âu hoặc quốc gia, Những chủ đề này nói lên mối quan tâm của những nhóm nghiên cứu và những nhóm marketing. Chẳng hạn, ở hội nghị Hội quản lý sức khỏe lợn chõu Âu ở Hanovre năm 2010, các đề tài chính về bệnh lý học đã bàn đến nhiễm trùng do circovirus lợn typ 2 (Porcine Circovirus type 2 – PCV2), hội chứng rối loạn sinh sản và hô hấp lợn (bệnh tai xanh- PRRS), kiết lỵ lợn và viêm hồi tràng do Lawsonia, cũng như về những phương tiện chẩn đoán phòng thí nghiệm (phương pháp và tính hiệu lực, v.v..). Cùng năm, trong hội nghị Hội thỳ y lợn quốc tế (IPVS), ở Vancouver, các bài nói về bệnh lý học đều đề cập đến bệnh tai xanh, đến nhiễm trùng do PCV2, bệnh do Mycoplasma hyopneumoniae và do Lawsonia. Trong 275 bàI thuyết trình có 34 bàI nói về nhiễm trùng do PCV2, 31 về tai xanh, 25 về cúm, 11 về những nhiễm trùng do Mycoplasma và 10 về ỉa chảy sơ sinh.
Những thông tin dựa trên những kết quả của các phòng thí nghiệm đều đề cập đến bản chất và tần xuất của các bệnh phụ thuộc rất nhiều nhân tố :
- Tầm quan trọng địa phương của các tác động kinh tế (tỷ lệ mắc bệnh và tỷ lệ chết lớn
- Dẫn đến quyết định kêu gọi phòng thí nghiệm, gay gắt hơn so với một bệnh kém hoặc ít nguy hiểm),
- Tính khó khăn chẩn đoán phân biệt
- Sự quan tâm của các nhân vật chủ chốt với đàn mắc bệnh,
- Tính cần thiết phải củng cố việc chẩn đoán hoặc việc điều trị.
Một nguồn thông tin thứ ba đến từ mạng lưới phụ trách giám sát dịch tễ các bệnh lợn. Vì vậy Mạng lưới dịch tễ lợn (Epiporc) đang được thành lập ở Pháp.
1. Các bệnh ỉa chảy lợn sơ sinh
Trong ỉa chảy sơ sinh có nhiều tác nhân nhiễm trùng, nhất là khi mắc bệnh trong tuần lễ đầu tiên : những virut như coronavirus của bệnh viêm dạ day-ruột truyền nhiễm (TGE), coronavirus của bệnh dịch ỉa chảy lợn (DEP), những rotavirus, những vi khuân (E. coli, Clostridium perfringens và Clostridium difficile, enterococcus của nhóm durans-hirae-villorum). Các cầu trùng (Isospora suis) thường tấn công vào tuần lễ thứ hai; các điều trị bằng thuốc chống cầu trùng trở nên phổ biến và làm giảm tác hại của ô ỉa phân trắng.
Có nhiều nhân tố mở đường :
- Tình trạng miễn dịch của lợn nái và nhất là của nái đẻ so,
- Bú sữa đầu, thay đổi theo những lợn con, cạnh tranh vú mẹ giữa các lợn con, liên quan đến tầm vóc của lứa đẻ và tình trạng trọng lượng sơ sinh không đồng đều ,
- Thời gian đẻ : những con sinh sau thường bất lợi
- Sức sống của lợn con khi sinh: những lợn con yếu thường khó tìm được vú mẹ (chưa thành thục, giảm glucoza huyết, khoèo chân ),
- Những tiện nghi, nhiệt độ, các can thiệp của người, điều trị, ghép con
- Những điều trị kháng sinh không tốt mở đường cho viêm ruột do enterococcus và Cl, difficile.
- Những bệnh nguyên chủ yếu là các coronavirus GET và DEP từ cuối những năm 1980 đã không còn thấy nữa. Rotavirus thường thấy nhất và rất đề kháng trong môi trường. Thường gặp nhát là viêm ruột hoại tử do Cl. perfringens typ C (Songer & Taylor, 2006).
- Chẩn đoán cần đến các test đặc hiệu (Straw & Dewey, 2006) :
- Miễn dịch huỳnh quang hoặc miễn dịch mô hoá học : thực hiện trên các tiêu bản mào ruột non với các kháng thể đặc hiệu chống lại coronavirus TGE và DEP (hình1), chống lại các rotavirus, chỉ áp dụng được ở những lợn con trong thời gian bắt đầu của bệnh, trước khi có sự phá huỷ các tế bào ruột.
- Test ELISA được thực hiện từ vật liệu phân (xác định coronavirus TGE và DEP, rotavirus, độc tố A và B của Cl. difficile),
- Những môi trường nuôi cấy, đếm, xác định và định typ các vi khuẩn,
- Xác định các nhân tố độc lực, như các độc tố và các nhân tố bỏm dớnh, bằng ký thuật phản ứng dây chuyền polymerase hoặc PCR (E. coli, Clostridium perfringens),
Kỹ thuật RT-PCR đối với coronavirus DEP và TGE, với rotavirus.
Những test khác nhau này không phải bao giờ cũng có sẵn và cũng khá đắt đỏ.
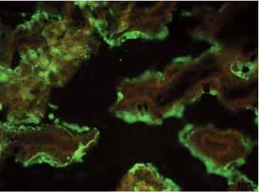
Xác định coronavirus DEP bằng miễn dịch huỳnh quang (mầu xanh) trên tiêu bản đông lạnh ruột non lợn con ngay khởi đầu của bệnh, nhờ kháng thể polyclonal đặc hiệu (X 100, cliché LDA 22)
Tổ chức học từ bệnh phẩm của hai hoặc ba con vật ngay khi bắt đầu triệu chứng cho phép hướng đến chẩn đoán tương đối nhanh: teo nặng nhung mao ruột non trong TGE và DEP; teo vừa phải hơn trong bệnh do rotavirus; trong bệnh trực khuẩn coli và trong viêm ruột do cầu khuản ruột (enterococcus), các vi khuẩn dính vào rìa các tế bào ruột thành hình bàn chải (hình 2); trong viêm ruột do Cl. perfringens A, các vi khuẩn lớn hình thành nha bào trong ruột non kết hợp với một hoại tử nông, với Cl. perfringens thì đặc trưng là hoại tử mảng trên màng nhầy còn với Cl. difficile C bằng viêm kết tràng.
Enterococcus hirae (chấm đen) dính chặt vào rìa bàn chải ruột non của lợn con 3 đến 4 ngày tuổi; tiêu bản tổ chức nhuộm Gram (X400, cliché LDA 22)
2. Bệnh trực khuẩn coli (Colibacillosis) ở lợn cai sữa
Bệnh xảy ra nhiều vào đầu những năm 1990, bệnh coli lợn cai sữa đã là mục tiêu nghiên cứu dịch tễ của Trung tâm quốc gia nghiên cứư thú y và thức ăn, đã xây dựng được danh sách các tác nhân nguy cơ trong chăn nuôi theo bậc thang 14 điểm : trọng lượng cai sữa, số và mật độ lợn, chiều dài máng ăn và lượng thức ăn tiêu thụ trong tuần lễ đầu tiên, điều kiện vệ sinh, nhiệt độ, độ thông thoáng của chuồng lợn con mới đến, tình trạng cá thể và mức độ bệnh lý hô hấp.
Sau một thời gian tạm lắng xuống ở giữa thập kỷ này, hai đến ba năm nay nó lại xuất hiện trở lại (Morvan những dữ liệu cá nhân) cho thấy rất giống với những triệu chứng mà Madec đã nghiên cứu (Madec và cs. 1998; 2000).
Bệnh này thể hiện dưới 3 thể: bệnh coli lợn cai sữa , bẹnh nhiễm độc E.coli (colitoxicosis) và bệnh phù tại một số nơi chăn nuôi, tổn thất nặng nề tới 20%.
Bệnh coli lợn cai sữa biểu hiện bằng ỉa chảy, chậm sinh trưởng và phát triển không đồng đều. Các chủng E. coli gây bệnh đều mang một tác nhân bỏm dớnh (thường nhất là F4) và chứa một độc tố ruột (enterotoxine).
Bệnh nhiễm độc coli, hay viêm dạ dày-ruột xuất huyết do E.coli, thể hiện tỷ lệ chết lác đác: mất nước nặng, chứng huyết khối và đông tụ máu rải rác trong lòng các mạch máu ruột non (Faubert & Drolet, 1992).
Trong bệnh phù, các chủng E.coli tự nhân lên trong ruột non và các hạch lâm ba ruột tạo nên một verotoxine gây tổn thương mạch máu sinh ra phù (Konstantinova và cs, 2007).
Chẩn đoán bệnh dễ dàng. Điều trị chủ yếu bằng cho uống: như dùng oxit kẽm với liều điều trị (2000 ppm) , trái lại với ở các nước khác, ở Pháp không được phép dùng; bệnh trước hết được trị bằng kháng sinh tác động cục bộ mà không vượt qua được rào chắn ruột.
Một vài chủng E. coli thể hiện giảm nhạy cảm với colistine. Các dữ liệu về xuất hiện những chủng E. coli đề kháng với kháng sinh được tập hợp do mạng lưới giám sát dịch tễ về kháng kháng sinh của vi khuẩn gây bệnh động vật (RESAPATH), đứng đầu là Sở quốc gia về vệ sinh an toàn thực phẩm, môi trường và lao động (ANSES).
3. Phức hợp bệnh tiêu hoá trong giai đoạn cai sữa và vỗ béo
Thường gặp hôi chứng ỉa chảy phân xám trong giai đoạn sau cai sữa và vỗ béo. Về lâm sàng nó có thể hỗn hợp với viêm ruột do Lawsonia, bệnh xoắn khuẩn (spirochetosis) và đôi khi kết hợp với cả bệnh do giun tóc (trichurosis). Vì thế, người ta thường gọi là phức hợp bệnh viêm ruột lợn, nhằm cho thấy rằng bệnh do nhiều nguyên nhân gây bệnh khác nhau gây nên, có thể do một nguyên nhân đơn lẻ, cũng có thể phối hợp nhiều nguyên nhân (Mantineau & Morvan, 2010).
Vì thế bệnh kiết lỵ lợn con và bệnh xoắn khuẩn cũng nằm trong phức hệ này. Lần lượt bệnh gây ra do Brachyspira hyodysenteriae và Brachyspira pilosicoli, ở Pháp hiện nay thường ít thấy bệnh này, ngược với những vùng chăn nuôi khác ở các nước chung biên giới. Nhóm Tây ban nha của trưiờng đại học Leon đã chỉ ra vai trò làm phát tán bệnh của một số dòng qua trao đổi gia súc (Osorio & Hidalgo, 2010). Bệnh này còn được gọi là “ỉa chảy xuất huyết” hoặc “viêm ruột xuất huyết”, thời hạn nó có thể gây phát tán cùng với bệnh khác như viêm hồi tràng xuất huyết hay hội chứng chướng ruột lợn (SDIP). Nhiễm Lawsonia intracellularis gây ra bệnh da u tuyến (adenomatosis) cũng xếp vào phức hợp bệnh viêm ruột lợn con. Nó biểu hiện trước hết ở hồi tràng. Đặc trưng của nó là một chứng tăng sản biểu mô các hốc và có thể tiến triển theo thể xuất huyết cấp tính hay mạn tính và hoại tử (McOrist & Gebhart, 2006).
Những tác nhân nhiễm trùng khác, người ta cũng có thể phân lập ra PCV2, các Salmonella, các Colibacillus, Trichuris, Balantidium, Trichomonas, Blastocytis và những “amip” khác cũng được coi như là nguyên nhân của phức hợp (Madec và cs, 1999). Những Brachyspira và Trichuris cúng được tìm thấy trong ruột già. Các ký sinh trùng đơn bào thường được coi là vật đánh dấu sự mất cân bằng của hệ sinh vật trong riuột già.
Vì vậy, phức hợp này là đa nhân tố và sự xuất hiện của nó gắn với các điều kiện chăn nuôi, với phương thức nuôi dưỡng. Trong nuôi dưỡng, việc ngừng các kháng sinh điều hoà hệ vi sinh vật đã là một tác nhân làm phức hợp này xuất hiện trở lại .
Chẩn đoán đòi hỏi những kỹ thuật đặc hiệu: môi trường nuôi cấy cho Salmonella, Colibacillus và Campylobacter, kỹ thuật PCR hoặc miễn dịch huỳnh quang (hình 3) cho Lawsonia và Brachyspira, chẩn đoán trực tiếp với ký sinh trùng, tổ chức học (sự tiêu dịch và bệnh bạch cầu hạt của các mảng Peyer và hạch lâm ba trung thất), miễn dịch mô hoá học hoặc lai giống tại chỗ (in situ) cho PCV2 (hình 4), tổ chức học, nhuộm bạc và miễn dịch huỳnh quang cho adenomatosis (tăng sản các hốc và phẩy khuẩn với số lượng lớn ở đỉnh của tế bào thượng bì), tổ chức học và nhuộm bạc cho viêm kết tràng (viêm, hoại tử màng nhầy kết tràng và xoắn khuẩn trong những hốc và bề mặt của màng nhầy).
Các chẩn đoán viêm kết tràng không đặc hiệu được làm qua loại trừ những bệnh nguyên này.
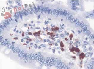
Phát hiện, ở đỉnh những tế bào các hốc, Lawsonia intracellularis, bằng miễn dịch huỳnh quang (mầu xanh) trên tiêu bản tổ chức kết tràng, nhờ một kháng thể đơn dòng (X400, cliché LDA 22)
Phát hiện PCV2 (mầu đỏ-nâu) bằng lai in situ (HIS) trên tiêu bản tổ chức mào ruột non (X400, cliché LDA 22)
4. Phức hợp bệnh hụ hấp lợn (Porcine Respiratory Complexe Disease (PRCD)
Rất nhiều tác nhân gây gệnh riêng rẽ hoặc đồng thời có thể gây nhiễm cho lợn ở giai đoạn vỗ béo : Mycoplasma hyopneumoniae, gây viêm phổi truyền nhiễm, arterivirus của hội chứng rối loạn sinh sản và hô hấp của lợn ( PRRS ), circovirus lợn type 2 (PCV2), các orthomyxovirus typ A của cúm, 3 virut này thường thấy nhất (Rossow vad cs, 1995). Đã thấy bội nhiễm các typ vi khuẩn khác nhau: Pasteurella, Haemophilus parasuis, Arcanobacterium, Streptococcus suis và Actinobacillus pleuropneumoniae, tác nhân của chứng viêm phổi-màng phổi (pleuropneumonia).
Phức hợp bệnh hô hấp lợn được mô tả ở Bắc Mỹ, phù hợp với một nhiễm trùng xảy ra vào cuối giai đoạn vỗ béo có chung điểm khởi đầu khi mắc mycoplasma, thường ở những nơi chăn nuôi đông đúc, và một bội nhiễm do nhiều virut hoặc vi khuẩn (Harms và cs, 2002).
Cúm lợn ở châu Âu thường theo mùa, Nó cũng có thể gây bệnh cho lợn con sau cai sữa, thậm chí đang theo mẹ. Các typ H1N1 và H3N2 quanh quẩn ở châu Âu từ 1976 (ở Pháp lần lượt typ thì từ 1980, typ thì từ 1984).
Từ năm 1999 không phát hiện thấy H3N2 nữa, typ H1N2 mới thấy gần đây. Theo điều tra của AFSSA (hiện nay là ANSES) năm 2008-2009, tỷ lệ những virut ở lợn của cúm H1N1 và H1N2 không thay đổi trong những năm đó: đặc biệt, không có chủng đại dịch nào pH1N1/09 được phát hiện trong 22 trại chăn nuôi chủ yếu do ANSES giám sát vào mùa hè 2010. Ngược lại, ở đảo Réunion, chủng dịch kéo dài trong chăn nuôi lợn, lại vô hại cho đến khi có cúm. Nhiễm do typ pH1N1/09 của virut cúm lợn không được xếp vào trong MRC ở Pháp nhưng OIE bắt buộc phải chú ý đến nó: hậu quả của nó đối với chăn nuôi còn đang không chắc chắn, do đó đòi hỏi những nghiên cứu sâu hơn hiện còn chưa nhiều.
Viêm phỏi-màng phổi lợn là kết quả của nhiễm đơn độc một nhân tố gây bệnh: Actinobacillus pleuropneumoniae thể hiện ở hai biotyp: biotyp 1 phụ thuộc vào NAD (rải rộng nhất) và biotype 2 không phụ thuộc, điều này cho phép nuôi cấy trên thạch máu (Gottschalk & Taylor, 2006). Biotyp 1 bao gồm 13 serotyp , từ 1 đến 12 và sérotyp 15; biotyp 2 chỉ gồm hai serotyp: 13 và 14. Sự phân chia các serotyp thay đổi theo từng nước: ở Pháp, các sérotyp chính là 9 và 11 và sérotyp 2 và chúng là mục tiêu phải kiểm soát. Các chủng đang này đang còn rất nhạy cảm với các kháng sinh thường dùng.
Với mỗi thực thể bệnh lý, có những test đặc hiệu để chẩn đoán: môi trường trứng cho virut cúm, môi trường tế bào cho virut cúm, arterivirus của bệnh tai xanh, coronavirus hô hấp (CVRP), các môi trường vi khuẩn để phân lập Actinobacillus pleuropneumoniae, Pasteurella Tai, Bordetella, Haemophilus; kỹ thuật PSR cho virut cúm, virut tai xanh, PCV2, Mycoplasma hyopneumoniae, Actinobacillus pleuropneumoniae.
Người ta cũng dùng những kỹ thuật tổ chức học, miễn dịch mô hoá học và miễn dịch huỳnh quang để xác định virut cúm trong viêm hoại tử tiểu phế quản (necrotic bronchiolitis), PCV2 và virut PRSS trong viêm phổi tăng sinh và hoại tử (prolifộrativ et necrotic pneumonia), Mycoplasma hyopneumoniae trong viêm phổi-màng phổi tăng sản nốt hình thành bạch huyết bào (nodular hyperplasia of peribronchal lymphoid formations). Người ta cũng có thể xác định PCV2 trên tiêu bản phổi và các hạch lâm ba bằng lai giống tại chỗ (hybridation in situ ). Một cách chung thực hiện bằng kết hợp một môi trường nuôi cấy vi khuẩn với kiểm tra tổ chức học phổi.
Để hạn chế việc kỹ thuật PCR chỉ phát hiện được ít mục, hiện nay, các kỹ thuật typ nanoliter Rt-PCR có thể cho phép phát hiện tới 64 mục tiêu riêng rẽ, đã rất có ích để phát hiện những bệnh nguyên khác nhau của các phức hợp bệnh này (Kim và cs, 2010).
5. Bệnh của tương lai và cần giám sát
Những bệnh truyền nhiễm, dịch tả lợn cổ điển, dịch tả lợn châu Phi, sốt lở mồm long móng và bệnh Aujeszky là những bệnh hàng đầu.
Nước Pháp lục địa an toàn với bệnh Aujeszky, nhưng những cảnh báo gần đây cho thấy sự không an toàn trong chăn nuôi ngoài trời do những vật dự trữ mầm bệnh ở trong đàn lợn lòi. Có bao nhiêu hội chứng bệnh trong đàn lợn tái sản xuất và ở lợn con sơ sinh thì cũng có chừng nấy hội chứng bệnh được quan sát thấy ở lợn vỗ béo gây khó khăn cho việc phát hiện những bệnh đáng nghi .
Bệnh dịch tả lợn cổ điển những năm qua đã gây ra ở nhiều nước châu Âu và đang có trong đàn lợn lòi vùng Đông –Bắc, Các hội chứng có thể được ẩn và thay hình đổi hình dạng, đã gây khó khăn cho việc phát hiện chúng: trong Thông tin dịch tễ “Sức khoẻ động vật” tháng 11- 2010, đã ghi nhận rằng để giám sát sự kiện, việc thiếu công bố các nghi vấn trong năm 2009 có thể là do “những quy chế bắt buộc nghiêm ngặt đè nặng lên chăn nuôi đã gây ra những nghi ngờ. Một nghi ngờ mức độ thấp cũng đáng để được thảo luận”.
Lê Quang Toản sưu tầm và dịch
Nguồn: Bulletin de l Académie vétérinaire de France. Tome 164. N0 1. (43-48)
Naipet.com