1. Căn bệnh học
Coronavirus trên họ mèo (Feline Coronavirus – FCoV) là nguyên nhân gây viêm ruột phổ biến trên loài mèo; gây tử vong cao, còn có tên gọi là nhiễm trùng phúc mạc trên mèo (Feline Infectious Peritonitis – FIP).
Coronavirus : có bộ gen 29 kb, bốn protein cấu trúc ( đỉnh [S], Matrix [M] , nucleocapsid [N], và vỏ [E] ) , và một số protein không cấu trúc ( 3a, 3b , 3c , 7a , và 7b). Coronavirus mèo serotype I và II: Có 2 type FCoV, FCoV type I được xem là chủng duy nhất trên mèo, cả 2 type có thể gây FIP. Mèo có thể đồng thời nhiễm cùng lúc 2 type FCoV.

Bệnh do Coronavirus trên mèo
Lứa tuổi: mèo ở mọi lứa tuổi điều có thể bị FIP, mèo con dễ bị FIP sau cai sữa và mèo từ 3 -16 tháng tuổi đều có thể bị nhiễm, thời điểm có nguy cơ cao thứ 2 là mèo trên 10 năm tuổi.
Giống: Các mèo có bố mẹ cùng giống (mèo thuần chủng) thì có nguy cơ bị FIP cao hơn những mèo có bố mẹ khác giống (mèo lai).
Nondomestic Felidae (thú hoang dã họ mèo): Nhiễm FCoV và bị FIP đã được báo cáo trên nhiều loài thú hoang dã họ mèo, các mèo nuôi nhốt trong nhà hoặc nuôi làm kiểng dễ bị nhiễm FCoV hơn là những con mèo ở ngoài tự nhiên.

Hình 1: Phát sinh bệnh khi nhiễm Coronavirus trên mèo
Coronavirus trên các loài thú cưng khác: Chồn có 2 biểu hiện rất rõ khi bị nhiễm coronavirus: viêm ruột catar và viêm phúc mạc. Chó thường được xem là nguồn lây nhiễm CCoV. Coronavirus thường được lây truyền giữa chó và mèo sống trong phạm vi gần.
2. Sinh bệnh học
Sự phát tán virus (sự bày thải virus): Virus được bày thải qua phân sau khi nhiễm 2 ngày. Đa số mèo không còn thảy virus qua phân sau 2-3 tháng, mặc dù một số mèo bị nhiễm virus (13%) hình thành thể mãn tính. phát hiện các mèo nhiễm mãn tính bằng phương pháp RT-PCR mẫu phân sau 9 tháng. Stress do bị buộc di chuyển nơi ở làm gia tăng sự bày thải virus 101-106 lần.
Truyền lây: Mèo bị nhiễm FCoV qua đường ăn uống, thường là gián tiếp do tiếp xúc với chất độn chuồn có virus. FCoV có thể tồn tại 7wks trong môi trường khô. FCoV dễ dàng bị bất hoạt bởi các chất tẩy rửa gia dụng và chất khử trùng. FCoV có thể truyền từ mẹ sang con.
Xâm nhiễm đại thực bào và gây viêm mạch: Sử dụng hóa mô miễn dịch. Kipar và cộng sự, đã chứng minh FCoV bên trong các đại thực bào bám chặt vào thành mạch máu và gây tắt nghẽn mạch đó là vấn đề chính trong sự phát triển thành FIP.
Đáp ứng miễn dịch với FCoV: Ngoài độc lực của chủng đang lây nhiễm FCoV, bị suy giảm khả năng miễn dịch có thể làm cho mèo dễ bị nhiễm trùng toàn thân. Hầu hết các mèo FIP điều có lịch sử bị stress trước đó vài tháng. Stress gây ra 2 ảnh hưởng: tăng tính nhạy cảm của mèo với FIP; làm suy giảm hệ thống miễn dịch và tăng sự bày thải virus 101-106 lần.
3. Kiểm tra lâm sàng
Nhiễm lần đầu: Hầu hết các trường hợp nhiễm FCoV điều có dấu hiệu cận lâm sàng. Mèo con bị nhiễm FCoV thường có lịch sử tiêu chảy, đôi khi còi cọc và các biểu hiện ở đường hô hấp trên.
Coronavirus gây viêm ruột: Tiêu chảy thường xuyên hiện diện trên mèo con từ 5 wks tuổi và đôi khi nôn mửa xuất hiện ở mèo con và một vài mèo lần đầu bị nhiễm FCoV, là 1 bệnh gây tiêu chảy và thường mèo tự thu mình trong 1 vài tuần. Mãn tính, tiêu chảy đã được ghi nhận trên mèo già, khỏe mạnh, mèo mang trùng FCoV, có thể dẫn đến tiêu chảy không kiểm soát.
Bệnh viêm mạch đa hệ thống: 2 dạng cơ bản của FIP có tính chất đặc trưng là ướt và khô. Trong FIP ướt, nhiều mạch máu bị ảnh hưởng, tăng tiết dịch và các protein huyết tương vào các khoan cơ thể. Trong FIP khô, các biểu hiện lâm sàng phụ thuộc vào cơ quan bị tấn công bởi viêm mạch do FIP. Các mèo trải qua nhiều năm sống trong môi trường 1 mình thì khó có thể bị FIP.
Bệnh có tiết dịch (effusive disease):Các mèo bị FIP có cổ trướng, mèo này có thể lanh lẹ hoặc khù khờ, biếng ăn hoặc bình thường. Bụng sưng có chất lỏng, sốt nhẹ (39°C đến 39.5°C [102.2 ° F đến 103.1 ° F]), giảm cân, khó thở, thở gấp, bùi phình to, tiếng tim rít, xanh xao hoặc vàng da có thể được ghi nhận.

Hình 2: Các mèo bị FIP có cổ trướng, mật độ không đều trong phổi
Bệnh không có tiết dịch (noneffusive disease):FIP khô (không tiết dịch) là biểu hiện mãn tính của bệnh, xuất hiện vài tuần đến vài tháng sau nhiễm và bị stress gây ra. Dấu hiệu của FIP khô bao gồm sốt nhẹ, giảm cân, khù khờ, chán ăn (ăn ít). Mèo có thể bị vàng da. Hầu như tất cả mèo FIP khô bị viêm nội nhãn (mắt). Sờ nắn bụng thường thấy các nốt bạch huyết treo ruột sưng và cũng có thể thấy thận bất thường hoặc bất thường các nốt trong nội tạng khác. X-quang ngực có thể cho thấy mật độ không đều trong phổi (không đồng nhất).

Triệu chứng thần kinh. ở các mèo FIP khô, 25-33% có các bất thường về thần kinh. Dấu hiệu lâm sàng thường gặp nhất là thay đổi trạng thái thần kinh sau đó mất điều hòa (mất kiểm soát cơ) tiếp theo rung giật nhãn cầu và sau đó co giật.
Colonic or Intestinal Localization (Tổn thương đường tiêu hóa): Đôi khi, các cơ quan chính hoặc chỉ cơ quan bị ảnh hưởng bới FIP u hạt là ruột. Tổn thương thường thấy ở kết tràng hoặc ngã 3 van hồi manh nhưng cũng có thể trong ruột non. Mèo có thể có các triệu chứng lâm sàng khác thường là táo bón, tiêu chảy mãn tính hoặc nôn mữa. Sờ nắn bụng thường cảm thấy ruột dày lên. Phát hiện huyết học có thể là sự tăng số lượng hồng cầu.
Mèo con sơ sinh và trước khi sinh: FIP là nguyên nhân truyền nhiễm phổ biến thứ hai gây tử vong ở mèo con sau cai sữa nhưng không gây tử vong từ sơ sinh đến cai sữa (Fading Kitten Syndrome: yếu dần rồi chết mà không biết rõ lý do). Tuy nhiên, nhiễm FCoV thật sự dẫn đến còi cọc, tăng tỷ lệ tiêu chảy và các triệu chứng hô hấp trên mèo con.
Nondomestic Felidae (Thú hoang dã họ mèo): FCoV có thể là một tác nhân gây bệnh quan trọng đối với họ mèo nuôi và hoang dã, loài báo (A.jubatus) có nguy cơ mắc bệnh cao nhất.
Tổn thương da: Các tổn thương liên quan đến da là nốt sần trong da đường kính khoản 2mm trên cổ, 2 chân trước, và 2 bên cơ ngực.
4. Chẩn đoán bệnh
Viêm ruột do coronavirus: Không có test đặc hiệu để kiểm tra viêm ruột do coronavirus. Nhiễm FCoV chỉ được xác định nếu sử dụng phương pháp miễn dịch hoặc miễn dịch huỳnh quang bằng cách nhuộm sinh thiết mẫu ruột.
Viêm phúc mạc trên mèo (FIP): Bệnh tích mô học bao gồm viêm mạch hoặc viêm quanh mạch. kết quả sinh thiết và dùng kim hút dịch từ vết cắt gan và thận chỉ có 11-38% độ nhạy trong chẩn đoán chính xác FIP.
Phân tích dịch tràn: Tỷ lệ A:G > 0.8 thì hầu như chắc chắn loại trừ FIP, 0.45< A:G< 0.8 thì vẫn có khả năng FIP. Tỷ lệ A:G < 0.45 với protein tổng số lớn hơn 3.5g/dL và hàm lượng tế bào thấp, bao gồm chủ yếu là bạch cầu trung tính và đại thực bào, thì tiên lượng FIP ướt cao.
- Rivalta test là test đơn giản, nhanh chóng không tốn kém để dịnh hướng FIP. 1 giọt acetic acid 98% được cho vào 5ml nước cất và trộn đều, 1 giọt dịch tràn được nhỏ cẩn thận bên trên. Nếu giọt dịch tràn biến mất (bị hòa tan) và dung dịch vẫn còn trong thì kết quả âm tính. Nếu giọt dịch tràn vẫn còn nguyên (không bị hòa tan), nó vẫn nằm ở trên lớp mặt, hoặc từ từ chìm xuống, thì kết quả dương tính. Cho kết quả xét nghiệm Rivalta, giá trị tiên đoán dương là 0,86, và giá trị tiên đoán âm là 0,97.
- Nhuộm miễn dịch huỳnh quang dương tính, cho thấy đại thực bào trong dịch tràn đã bị nhiễm, thì chắc chắn là FIP, nhưng kết quả âm tính thì không thể loại trừ FIP. khó khăn của test này là đại thực bào có trong dịch tràn thường ít.
Phát hiện FIP bằng sinh hóa và huyết thanh học: Sự thay đổi huyết thanh học tiêu biểu ở cả FIP ướt và khô là giảm bạch cầu lympho. FIP là nguyên nhân chính gây giảm tiểu cầu ở mèo.
Kiểm tra kháng thể FCoV: Kháng thể FCoV xuất hiện sau khi nhiễm 18-21 ngày. Sự hiện diện của kháng thể mà không có bị nhiễm có thể được phát hiện sớm trong giai đoạn sơ sinh: MDAs biến mất từ 5 đến 6 tuần tuổi. Có 2 bộ dụng cụ kiểm tra kháng thể: ELISA , FIP hoặc FCoV Immunocomb và rapid immunomigration test.
Miễn dịch huỳnh quang gián tiếp: phát hiện ra hiệu giá kháng thể huỳnh quang gián tiếp liên quan mật thiết đến sự bày thải virus ra ngoài.

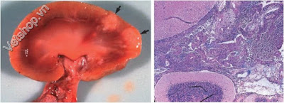
Hình 4: Toàn bộ bề mặt xoang ngực bị bao phủ bởi các mảng nhỏ màu trắng

Hình 5: Bệnh tích trên thận trong FIP
Ở các mèo tiêu chảy do coronavirus, FCoV có thể xâm nhập (nhiễm) biểu mô hình trụ ở đỉnh vi nhung mao dường tiêu hóa, dẫn đến bong tróc các đỉnh lông nhung (bị cùn, ngắn lại).
6. Điều trị bệnh
Mèo khỏe có huyết thanh dương tính coronavirus: Các thuốc có thể chống lại FCoV trong điều kiện phòng thí nghiệm như là ribavirin; tuy nhiên, các thuốc này không có tác dụng trong thực tế, ngược lại chúng còn gây độc cho mèo. Ammonium chloride là thành phần thường xuyên trong thức ăn (dành cho thú y điều trị bệnh) nhằm mục đích làm thay đổi pH nước tiểu. Có hay không thức ăn chứa ammonium chloride có tác dụng ngăn chặn FIP thì chưa biết.
Coronavirus viêm ruột: Sử dụng chất điện giải và hạn chế calo khẩu phần ăn với sữa chua tự nhiên hoặc probiotic (chế phẩm sinh học) có thể sẽ thích hợp. Chưa có phương pháp điều trị kháng virus đặc hiệu nào được chứng minh để diều trị trường hợp này. Một vài mèo mang trùng bị tiêu chảy có đáp ứng với liều thấp prednisolone (0.5-1 mg/ngày).
Lâm sàng FIP: Nói chung, FIP không thể chữa khỏi, và kết quả chấn đoán dẫn đến quyết định cho (mèo) là cái chết êm ái. Những tiến bộ trong hiểu biết về FIP và các test chấn đoán sớm và chính xác hơn FIP, cho phép điều trị sớm sẽ có nhiều cơ hội ngăn chặn bệnh.

Hình 6: Quy trình điều trị FIP ướt và khô
Các phương pháp điều trị khác: Thalidomide về mặt lý thuyết nó thích hợp hơn glucocorticoid trong điều trị FIP, không nên sử dụng ở mèo mang thai. Liều dụng 50-100mg/ ngày vào mỗi buổi tối.Chất ức chế TNF- α được sử dụng để kiểm soát hàm lượng TNF- α chất này tăng trong FIP và góp phần gây phản ứng viêm. Cho đến nay chưa được sử dụng trên mèo.
Chất ức chế sinh tổng hợp Thromboxane với prednisolone, đã chữa khỏi 1 con mèo và thuyên giảm khoảng 8 tháng ở lần thứ 2 với FIP ướt. Chất ức chế MMP-9 (salvianolic acid B) có thể được sử dụng trong giai đoạn đầu FIP ướt nhưng có vẻ không có ích trong FIP khô. Mặc dù những hợp chất này chưa được sử dụng trên mèo FIP, liều đề nghị là 10mg/kg/ngày. Chất đối kháng thụ thể 5-Hydroxytryptamine, liệu pháp này vẫn chưa được sử dụng ở mèo FIP, liều đề nghị là 300 μ g/kg/ngày.
Vai trò của dinh dưỡng: Mặc dù chưa được kiểm chứng, việc cung cấp nhiều omega 3 cho mèo FIP có thể có lợi. Nó có thể ngăn chặn sự tiến triển FIP ở các mèo tiếp xúc.
Theo dõi điều trị và tiên lượng: Các mèo FIP ướt thường sống cao nhất là vài ngày đến vài tuần. Mèo FIP khô có thể sống vài tuần đến vài tháng, khi có dấu hiệu thần kinh xảy ra thì mèo sau đó chết rất nhanh.
7. Phòng bệnh
Vaccine chống lại FIP: Đã có 1 loại vaccine phòng chống FIP (Primucell, Pfizer Animal Health, New York). Hiệu quả của Primucell dựa trên phần trăm ngăn ngừa được đã được báo cáo là 50 – 75%. Trong 1 khảo sát khác cho thấy vaccine này không có hiệu quả.
Sự ngăn ngừa FIP cho mèo giống: Vệ sinh tốt và thiết kế chuồng trại là điều kiện cần thiết để giảm mức độ và sự lây lan FCoV.

Hình 7: Quy trình giảm thiểu FCoV trên mèo
Các biện pháp chăn nuôi: Các mèo không bị nhiễm nên được tách riêng với các mèo bị nhiễm và mèo mới nên được cách ly trước. Kiểm soát giao phốim cai sữa sớm và cách ly mèo con. Các con của mèo cái đang bày thải FCoV sẽ được bảo vệ khỏi nhiễm bởi MAD (kháng thể mẹ truyền) cho đến khi chúng được ít nhất 5-6 wks tuổi.
Sự ngăn chặn FIP ở trạm cứu hộ: Sự kết hợp của việc chủng chủng ngừa cho các mèo với Primucell trước khi trả về tự nhiên. Các mèo nên để tránh xa chó không chỉ giảm stress mà còn ngăn chặn tiếp xúc với CCoVs.
8. Sức khỏe cộng đồng
Con người không bị nhiễm FCoV hoặc tiến triển FIP.
Coronavirus trên người 229E và OC43, lưu hành phổ biến rộng rải trong cộng đồng người, gây “cảm lạnh thông thường”, và không gây nguy hiểm cho mèo.
Một thành viên khác của Coronaviridae gây hội chứng hô hấp cấp trên nguời (SARS).
- Nhiễm tự nhiên với virus SARSr đã được báo cáo ở cầy hương.
- SARSr-CoV đã được thử nghiệm gây nghiễm trên mèo trong phòng thí nghiệm và gây viêm các mô phế quản và các hạch lympho liên quan.
Phân tích dữ liệu cho thấy SARSr-CoV cầy (chồn) có thể là một virus tái tổ. Tái tổ hợp thường xuyên kết hợp với phát triển nhanh chóng vật nuôi này có thể dẫn đến việc truyền ngang giữa các loài và sự xuất hiện của SARS.
Nguồn: Vetshop VN
Naipet.com